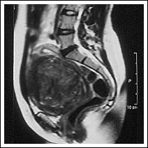
MRI Scans
Before and after treatment
Scans - Patient 3
|
|
|
||
![]() |
![]() |
||
| At 26th January 1998 - large 12cm full thickness fibroid. |
At 21st July
1998 - post embolisation showing 90% shrinkage of
fibroid. |
||
| Sagittal Magnetic Resonance Imaging scans showing fibroid before and after treatment. | |||

